Теннис — это не просто игра, это искусство, требующее от спортсменов высокой физической подготовки, точности и скорости. Одним из ключевых факторов, влияющих на качество игры, является покрытие корта….
Здоровье семьи
Рубрика, в которой собраны материалы о том, как заботиться о здоровье всех членов семьи — от малышей до пожилых. Полезные советы для родителей, профилактика заболеваний, гигиена, питание, семейные привычки и психоэмоциональное благополучие. Всё, что нужно для создания крепкой, здоровой и гармоничной семейной среды.
Гантели — один из самых универсальных и доступных видов спортивного оборудования, который позволяет эффективно прорабатывать все группы мышц. Независимо от того, новичок вы или опытный спортсмен, правильно подобранные…
Рождение ребёнка — это огромное событие в жизни каждой женщины. В период беременности организм претерпевает значительные изменения: меняется гормональный фон, увеличивается нагрузка на суставы и позвоночник, растёт живот,…
Регулярные занятия в спортзале давно перестали быть просто модным увлечением. Для многих людей это способ заботы о своём здоровье, профилактики заболеваний, повышения уровня энергии и улучшения качества жизни….
Покупка абонемента в фитнес-клуб давно перестала быть просто формальностью для посещения зала. Сегодня это продуманный шаг в сторону более активного, здорового и организованного образа жизни. Абонемент помогает человеку…
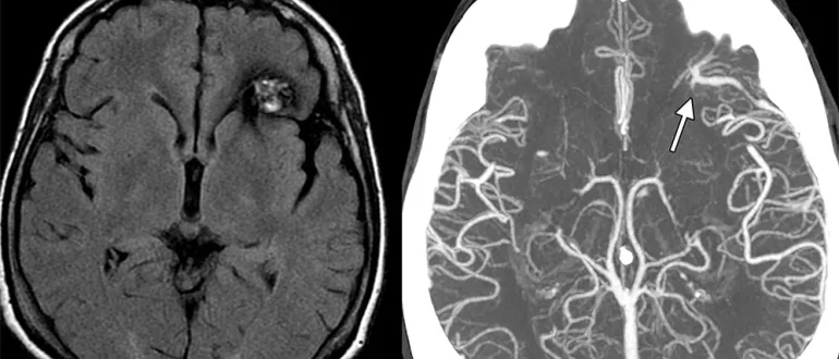
Что такое кавернома головного мозга Кавернома (кавернозная ангиома) головного мозга — это сосудистая мальформация, представляющая собой скопление патологически изменённых кровеносных сосудов. Эти сосуды образуют полости («каверны»), заполненные кровью,…
По мере роста конкуренции в интернете вопрос видимости сайта становится одним из ключевых для любого бизнеса. Seo продвижение сайтов — это комплекс мер, направленных на повышение позиций ресурса…
Футбольная сетка — это неотъемлемая часть любого футбольного поля. Она выполняет не только декоративную функцию, но и обеспечивает удобство и безопасность игры. Правильный выбор сетки влияет на качество…
Протеины, или белки, являются важнейшими биологическими молекулами, которые выполняют огромное количество функций в организме человека. Они участвуют в строительстве тканей, регулируют обмен веществ, обеспечивают работу иммунной системы и…
Лечение хронического алкоголизма — это не просто курс таблеток или месячный отпуск в клинике. Это сложное, многослойное путешествие длиною в жизнь, попытка вернуть себе себя — того человека, который…